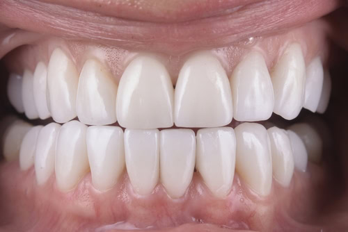
Alargamiento de corona dental en Wayne, NJ
En Fine Dental Care, ofrecemos alargamiento de corona dental, un procedimiento diseñado para mejorar bellamente la parte visible de sus dientes y aumentar su confianza. Si usted está buscando para mejorar su sonrisa por razones estéticas o la preparación para la restauración dental más, alargamiento de corona puede ser la solución perfecta. Permítanos ayudarle a conseguir la sonrisa radiante que se merece.
¿Qué es el alargamiento de corona?
El alargamiento de corona es un proceso quirúrgico que deja al descubierto una mayor parte de la estructura del diente. Esto es especialmente beneficioso para los pacientes cuyos dientes pueden parecer demasiado cortos o cuya línea de las encías es irregular, lo que afecta a su sonrisa en general. Mediante el ajuste cuidadoso de la línea de las encías y, si es necesario, la eliminación de una pequeña cantidad de hueso, el procedimiento revela más de la superficie de cada diente.
Realizado por un dentista experto, el alargamiento de corona consiste en remodelar el tejido gingival y, si es necesario, el hueso subyacente alrededor de los dientes en cuestión. Este ajuste permite que una mayor parte del diente sea visible por encima de la línea de las encías. El procedimiento se realiza normalmente en una hora y puede cambiar radicalmente el aspecto de su sonrisa haciendo que sus dientes parezcan más largos y proporcionados. También utilizamos el procedimiento de alargamiento de corona para fines de restauración.
Alargamiento de corona para procedimientos de restauración
El alargamiento de la corona cumple una función esencial en odontología restauradora. Este procedimiento es a menudo un requisito previo cuando un diente necesita una nueva corona dental, puenteEl alargamiento de corona es un procedimiento quirúrgico en el que el diente se alargó más de lo necesario, pero carece de la estructura dental suficiente por encima de la encía para soportarlo. Al exponer más superficie del diente, el alargamiento de corona proporciona el espacio necesario para una corona o empaste dental, garantizando la durabilidad y estabilidad de la restauración. Esto es particularmente importante para los dientes que están rotos o gravemente cariados por debajo de la línea de las encías.
Además de sus beneficios restauradores, el alargamiento de corona también puede ayudar a tratamiento de las enfermedades de las encías. La eliminación del exceso de tejido gingival nos permite acceder mejor a las superficies radiculares de los dientes, lo que facilita su limpieza y mantenimiento. Esto es crucial para controlar la enfermedad periodontal, ya que ayuda a reducir las acumulaciones bacterianas bajo las encías, mejorando la salud bucal y previniendo nuevos problemas de encías.
Corrección de la sonrisa gingival
El alargamiento de coronas es muy eficaz para mejorar el aspecto estético de la sonrisa, sobre todo en el caso de quienes se sienten acomplejados por una sonrisa "gingival", es decir, cuando al sonreír se ve una cantidad excesiva de tejido gingival por encima de los dientes superiores. Este procedimiento cosmético remodela estéticamente la línea de las encías para crear un aspecto más equilibrado y simétrico al exponer más de cada diente. Como resultado, los dientes parecen más largos y prominentes, contribuyendo a una sonrisa más brillante y atractiva.
Para las personas que sienten que su sonrisa se ve ensombrecida por un exceso de tejido gingival, el alargamiento de corona puede mejorar significativamente la autoestima y la imagen de uno mismo. Dependiendo de sus necesidades y el resultado deseado, podemos adaptar el procedimiento para afectar a un solo diente o toda la línea de las encías, por lo que es una solución versátil.
Cuidados posteriores al alargamiento de corona
Tras la intervención, le informaremos detalladamente instrucciones para el cuidado posterior para garantizar una curación adecuada.
Después de la cirugía de alargamiento de corona, puede esperar algunas molestias, hinchazón y sangrado leve. Puede minimizar estos síntomas no tocando la zona quirúrgica y evitando enjuagarse fuertemente o utilizar pajitas. Otras recomendaciones son:
- Utilice una gasa para controlar la hemorragia inicial y aplique una compresa fría para reducir la hinchazón durante las primeras 36 horas, después cambie a calor húmedo.
- Practique una higiene bucal suave con un cepillo de dientes blando alrededor de la zona tratada, evitando el uso de hilo dental durante una semana.
- Manténgase hidratado, evite los alimentos duros o irritantes y absténgase del tabaco y el alcohol.
- Mantenga un nivel de actividad bajo inmediatamente después de la intervención.
- Siga todos los regímenes de medicación prescritos y póngase en contacto con nuestra consulta si la hemorragia persiste o si tiene alguna duda.
¿Por qué elegir Fine Dental Care?
En Fine Dental Care en Wayne, NJ, estamos comprometidos a proporcionar tratamientos dentales expertos que satisfagan sus necesidades y superen sus expectativas. Nuestro equipo utiliza tecnología de última generación y técnicas para asegurar que su procedimiento de alargamiento de corona sea lo más cómodo y eficaz posible. Si sus necesidades son de restauración o cosméticos, usted recibirá de alta calidad, atención personalizada en Fine Dental Center.
Si está considerando el alargamiento de corona para mejorar su sonrisa o prepararse para otro procedimiento dental, le invitamos a ponerse en contacto con nosotros. Programe su cita hoy mismo y dé el primer paso hacia una sonrisa más brillante y segura.

 Spanish
 Spanish		 English
 English        