Antes y después

Haz clic y arrastra las flechas a la derecha o a la izquierda para descubrir las transformaciones de la sonrisa.

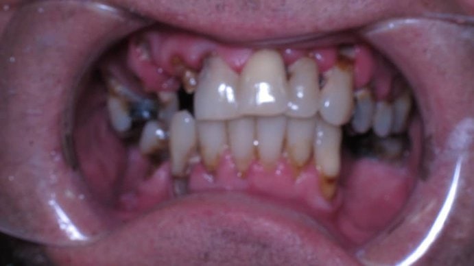
Reconstrucción bucal completa

Patient presented with severe tooth loss, decay, and visible deterioration from previous restorations. Following treatment, his teeth are now structurally reinforced, naturally contoured, and in aesthetic harmony with his facial features. Look how comfortably and wonderful things changed the same day!
En
Medio
Antes de

Invisalign y Mini Implantes Dentales

La transformación de esta paciente con Invisalign y Mini Implantes Dentales es notable. La paciente tenía huecos en su sonrisa que afectaban a su confianza. Después del tratamiento, sus dientes están perfectamente alineados, y las lagunas se llenan, dándole una sonrisa hermosa, completa.

Reconstrucción bucal completa

Los implantes dentales sustituyen los dientes poco sanos en seis visitas durante un periodo de seis meses. Para los dientes que duelen, son feos e interfieren con la alimentación, opte por esta solución.

Hermosa sonrisa

Este paciente sufrió graves daños dentales debido al ácido, pero todos los dientes pudieron salvarse mediante el uso de coronas.

Tratamiento Invisalign

El Dr. Fine logró esta increíble transformación utilizando Invisalign, evitando la necesidad de la eliminación de cuatro dientes, que habría sido un procedimiento mucho más invasivo. A través de su precisión y dedicación, el viaje de este paciente comenzó con desalineación significativa, apiñamiento, y las preocupaciones de mordida. Después de seguir un plan de tratamiento cuidadosamente personalizado, los resultados son realmente notables - ¡una sonrisa bellamente alineada, funcional y saludable!

¿Qué corona es un implante?

Si no te gusta tu sonrisa y vas a perder un diente frontal, ¡mira lo que podemos hacer!

Sustitución de dientes

Esta hermosa sonrisa de aspecto natural fue creada mediante el uso de implantes dentales para una sonrisa fabulosa.

Tratamiento Invisalign

El Dr. Fine ha demostrado una vez más su habilidad y compromiso para ofrecer resultados excepcionales. Este paciente se sometió a tratamiento Invisalign resultando en una sonrisa bellamente alineados y la mejora de la salud oral.

Me encanta mi sonrisa

¿No es increíble lo que podemos hacer por tu sonrisa?

Caso Invisalign

El tratamiento Invisalign puede ser una forma sutil y sencilla de alinear sus dientes y darle la confianza necesaria para sonreír con amplitud.

Sustitución de dientes

La sustitución de dientes puede mejorar drásticamente su sonrisa. Fíjese en la diferencia.

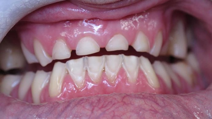
Dientes delanteros rotos

Dientes delanteros rotos como estos pueden volver a estar bonitos, ¡pregúntenos!

Diente roto

Si su diente está roto y puede salvar las piezas, a veces es posible restaurar el diente. Echa un vistazo a la increíble sonrisa que tiene esta paciente después de que pudiéramos volver a unir las piezas de su diente roto.

Prótesis e implantes

¿Qué ocurre cuando rechinas los dientes? La estructura dental puede resultar gravemente dañada con el rechinamiento crónico de los dientes, pero podemos ayudarle con prótesis dentales e implantes.

Alivio del dolor

El alivio del dolor puede cambiar la vida. La sonrisa de este paciente no sólo tiene mejor aspecto, sino que también se siente mejor.